티스토리 뷰
식품위생업소 및 위생분야에 종사하는 경우 ( 아르바이트 포함 )
보건증 ( = 건강진단결과서 ) 발급이 필수입니다.
검사항목은 3가지이고
검사방법은 어렵지 않지만
발급기관에 따라 일정금액의 수수료가 발생합니다.
급히 필요하신 분들을 위한 당일발급 방법과
발급비용, 검사항목
편리한 인터넷 재발급 방법 알아보겠습니다.
목차
1. 보건증 발급절차
2. 보건증 발급 시 준비물
3. 보건증 검사 항목
4. 검사방법
5. 보건증 당일발급 방법
6. 보건증 인터넷 발급방법
7. 보건증 재발급
8. 보건증 유효기간

1. 보건증 발급절차
보건증은 검사항목에 따른 검사 결과가 표기된 문서입니다.
발급은 기본적으로 보건소에서 담당하고 있으나
해당검사를 시행하는 지역별 의료기관에서도 발급이 가능합니다.
다만 보건소는 수수료가 3천 원 ( 재발급 300원, 인터넷 무료)인 반면
의료기관은 보통 2만 원 이상의 수수료가 발생합니다.
보건증은 해당기관에서 검사 후
검사받은 기관 혹은 해당 주민센터에서 발급이 가능하며
신청 시 우편발송, 인터넷 출력도 가능합니다.
| 검사대상확인 -> 신분증 확인 -> 수수료수납 -> 검사 -> 당일 혹은 재방문, 우편, 온라인 발급 -> 유효기간 1년 내 사용 |
다만, 검사결과 질병이 발견되는 경우에는 발급되지 않습니다.



2. 보건증 발급 시 준비물
보건증 검사 신청 시 신분증 ( 주민등록증, 운전면허증, 여권, 학생증 등 ) 확인 필수입니다.
3. 보건증 검사 항목
★ 식품위생 분야 종사자의 건강진단 항목
| 대상 | 건강진단 항목 |
| 식품 또는 식품첨가물을 채취, 제조, 가공, 조리, 저장, 운반 또는 판매하는 데 직접 종사하는 사람 다만, 영업자 또는 종업원 중 완전 포장된 식품 또는 식품첨가물을 운반하거나 판매하는 데 종사하는 사람은 제외 |
1. 장티푸스 (식품위생 관련 영업 및 집단급식소 종사사자) 2.폐결핵 3.전염성 피부질환 (세균성) |
식품분야 종사자 : 폐결핵, 장티푸스, 파라티푸스
학교급식 종사자 : 폐결핵, 장티푸스, 파라티푸스, 세균성 이질
★ 유흥분야 종사자 건강진단 항목
| 대상자 | 건강진단 항목 및 횟수 | ||
| 매독 | HIV | 그 외 성매개감염병 검사 | |
| 청소년보호법 시행령 6조2항1호에 따른 영업소 종업원 | 1회/6개월 | 1회/6개월 | 1회/6개월 |
| 식품위생법 시행령 제22조1항에 따른 유흥접객원 | 1회/3개월 | 1회/6개월 | 1회/3개월 |
| 안마사에 관한 규칙 제6조에 따른 안마시술소의 종업원 | 1회/3개월 | 1회/6개월 | 1회/3개월 |
| 기타 감염우려 행위가 인정되는 영업장 종사자 | 1회/3개월 | 1회/6개월 | 1회/3개월 |
기본 진단항목 (장티푸스, 폐결핵) 포함
4. 검사방법
신청 절차
- 검사소 (보건소 등 ) 방문, 신청서 작성, 신분증 확인 후 검사실시
- 5일 이내 검사판정
- 지역별 당일발급 가능한 병원 있음
항목별 검사방법
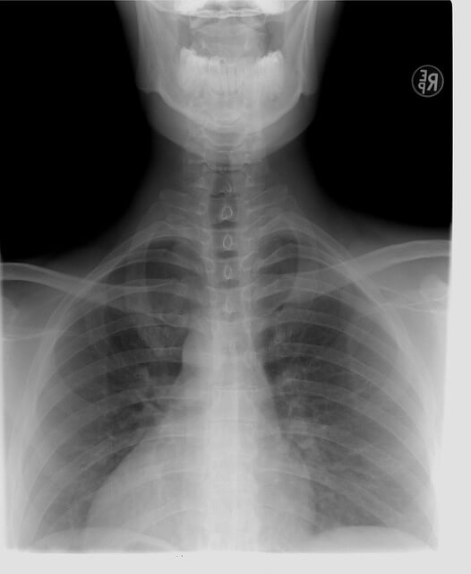
폐결핵
검사방법 : 흉부 엑스레이 촬영
결핵은 세균에 의해 발생하는 감염병으로
주로 폐에서 발병하나 신장이나 신경, 뼈 등에서도 발생할 수 있어 흉부 엑스레이를 촬영하여 검사합니다.

장티푸스
검사방법 : 직장도말 검체채취
살모넬라 타이피균에 감염되어
발열과 복통등의 증상이 나타나는 급성 감염질환입니다.
장티푸스는 보균자의 대소변에 오염된 음식이나 물을 섭취하면 감염되며
환자가 직접 조리한 음식등에 장티푸스균이 묻어 전염되기도 하므로 필수 검사에 포함됩니다.

위의 그림과 같이
면봉을 직장에 넣은 후 검체를 채취하여 검사하게 됩니다.
전염성 피부질환
검사방법 : 담당의사의 양손 앞뒤 진찰과 문진
매독, HIV 등
검사방법 : 혈액검사
5. 보건증 당일발급 방법
검사결과 소요시간은 보건소의 경우 주말 공휴일 제외 5일
일반 의원은 당일 발급이 가능한 곳도 있습니다.
혹은 검색창에서 지역 + 보건증 당일발급으로 검색하셔도
지역별 당일발급 병원을 찾을 수 있습니다.
6. 보건증 인터넷 발급방법
보건소, 의료원 등 공공보건의료기관에서 검사한 경우
보건기관 방문 없이 온라인으로 제증명을 신청하고 출력할 수 있습니다.
건강진단결과서(보건증)는 판정결과가 정상인 경우에만 조회 가능합니다.
다만 결핵사업으로 접수한 경우에는 방문발급받아야 합니다.
오프라인 : 신청, 검사한 보건소 방문, 신분증 확인 후 수령
(대리수령 시 위임장, 대리인 신분증 필요)
온라인 : 공공보건포털 접속 > 온라인 민원서비스 > 제증명발급 > 건강진단결과서 클릭
(행안부 정부 24에서도 발급 가능 )
발급을 위해 간편 인증서 혹은 공동인증서를 위한 본인인증이 필요합니다.
7. 보건증 재발급, 유효기간
보건기관에서 진료/검사받은 내용에 대해 무료 재발급이 가능합니다.
단, 보건증의 경우 유효기간 ( 검사일로부터 1년 )까지 조회 및 재발급받을 수 있습니다.
유효기간이 종료되면 조회 재발급이 어렵습니다.
e-보건소에서 발급 가능한 문서
보건증 발급 잘 받으시고 도움이 되셨길 바랍니다 :)
'일상생활정보' 카테고리의 다른 글
| 2025년 벚꽃 개화 시기 예측 및 전국 벚꽃 명소 추천: 사진 명당 주차 가는법 (2) | 2025.04.05 |
|---|---|
| 여권 신규발급 재발급 갱신 온라인 신청 여권사진 준비물 (0) | 2025.01.28 |
| 24년 교통비할인 k패스 발급방법 할인율 교통할인카드 비교 (0) | 2024.06.10 |
| 2024 임영웅 콘서트 상암 월드컵경기장 시야 좌석배치 가는법 주차 내 좌석 찾는 법 총정리! (0) | 2024.04.12 |
| 2024 내일배움카드 신청 자격 발급 사용방법 사용처 재발급 (0) | 2024.02.16 |

